Centro de Enfermedades Inflamatorias Oculares y Uveítis en Guayaquil
Somos un Centro Especializado en el diagnóstico, seguimiento y tratamiento de enfermedades inflamatorias oculares y uveítis. Los mejores intereses del paciente son servidos por los esfuerzos conjuntos de oftalmólogos con experiencia en el tratamiento de enfermedades inflamatorias oculares, combinados con la experticia médica clínica en el tratamiento de trastornos inflamatorios sistémicos y el uso de agentes inmunosupresores convencionales y biológicos, así como tratamientos quirúrgicos de alta complejidad en pacientes con inflamación ocular en Guayaquil, Ecuador.
Equipo Médico
Los doctores; Verónica Gaibor Silva y Manuel Alcántara Delgado son Cirujanos Oftalmólogos con Alta Especialidad en Uveítis y Enfermedades Inflamatorias Oculares graduados por la Universidad Autónoma de México, UNAM. Miembros del Centro Mexicano de Enfermedades Inflamatorias Oculares (CMEIO) y fundadores del Centro de Uveítis Guayaquil.

Dra. Verónica Gaibor Silva
Cirujana Oftalmóloga con Alta Especialidad en Enfermedades Inflamatorias y Uveítis - UNAM México

Dr. Manuel Alcántara Delgado
Cirujano Oftalmólogo con Alta Especialidad en Enfermedades Inflamatorias y Uveítis - Retina y Vítreo UNAM México

La Uveítis es el nombre que se le da a la inflamación dentro del ojo que en algunos pacientes puede provocar ceguera
La uveítis consiste en la inflamación de la úvea, la porción media del ojo, que comprende el iris y el cuerpo ciliar (parte anterior) y la coroides (parte posterior); aunque, también se produce inflamación de tejidos adyacentes, como el humor vítreo, la retina y el nervio óptico.
La uveítis puede afectar a uno o ambos y causar daño al tejido vital ocular, llevando a una pérdida permanente de la visión.
Sus principales causas son: infecciones, enfermedades sistémicas autoinmunes, síndromes circunscritos al ojo e idiopáticos.

Síntomas de la Uveítis
Los síntomas de la uveitis pueden aparecer repentinamente y empeorar rápidamente, aunque en algunos casos se desarrollan gradualmente. Pueden afectar uno o ambos ojos. En ocasiones, no hay síntomas y se observan signos de uveítis en un examen ocular de rutina.
Complicaciones de la Uveítis
Si no se trata, la uveítis puede causar complicaciones, que incluyen:
Edema macular.
Cataratas.
Hipertensión ocular y Glaucoma.
Desprendimiento de retina
Neovascularización coroidea.
Fibrosis subretiniana.
La uveítis puede ser grave y provocar una pérdida permanente de la visión. Para lograr mejores resultados visuales, es fundamental tratar el proceso patológico subyacente de forma rápida y adecuada, ya que la cronicidad y las recurrencias de la enfermedad limitan la eficacia de todas las opciones terapéuticas.

Edema Macular
El edema macular es una fuga anormal y acumulación de líquido en el área macular. Esto se debe principalmente a la ruptura de la barrera hematorretina posterior a la inflamación. El edema macular es una de las principales causas de pérdida visual permanente en la uveítis como consecuencia de la inflamación crónica.

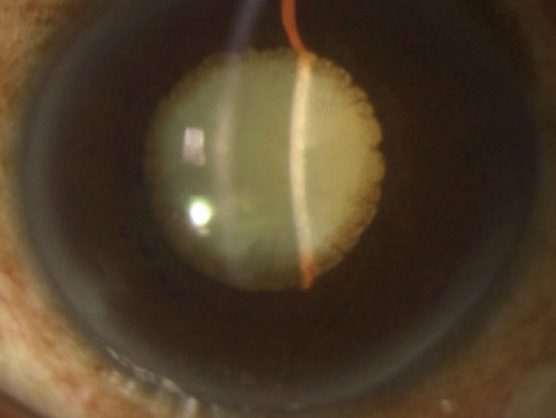
Catarata
Todos los tipos de uveítis pueden inducir la formación de cataratas. Como ocurre con otras formas de cataratas, los pacientes experimentan deslumbramiento y pérdida de visión. La cirugía de cataratas puede realizarse después del control completo de la inflamación intraocular, bajo el uso concomitante de esteroides u otros agentes inmunosupresores.

Glaucoma
La hipertensión ocular y el glaucoma son secuelas comunes de la inflamación intraocular. La elevación de la presión intraocular (PIO) puede tener diferentes orígenes: bloqueo pupilar por sinequias posteriores, obstrucción de la red trabecular, trabeculitis o inducido por esteroides. El tratamiento debe basarse en los mecanismos subyacentes, el grado de PIO elevada y la actividad de la inflamación.

Desprendimiento de Retina
El desprendimiento de retina ocurre con mayor frecuencia después de períodos de inflamación intraocular activa y en ojos con uveítis infecciosa. El primer paso en el tratamiento del desprendimiento de retina en la uveítis es establecer el diagnóstico correcto, ya que las opciones de tratamiento varían según la etiología subyacente.
Cuándo acudir al oftalmólogo?
Comuníquese con su oftalmólogo si cree que tiene signos de advertencia de uveítis. Si tiene un dolor ocular intenso y problemas de visión inesperados, busque atención médica inmediata. G-9LEX6R9YML
